¿Qué aprenderás de este taller de frotis sanguíneo?
El Taller Intensivo de Lectura de Frotis y su Interpretación está diseñado para fortalecer las competencias en el análisis morfológico del frotis de sangre periférica, con énfasis en su aplicación diagnóstica en anemias, leucemias, trombocitemias y síndrome leucoeritroblástico.
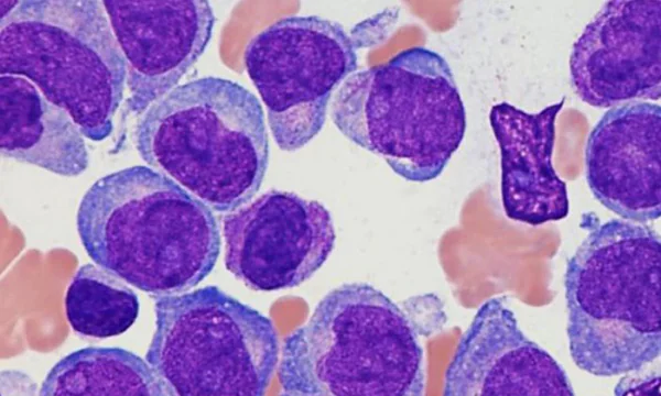
Durante el taller se revisan los fundamentos de la hematopoyesis normal, la correcta preparación y observación del frotis, y los criterios sistemáticos de lectura microscópica. Se profundiza en la identificación y diferenciación de alteraciones eritrocitarias, leucocitarias y plaquetarias, reconociendo patrones morfológicos característicos de cada patología.
El eje central es la interpretación clínica del frotis, abordando:
-
Cambios morfológicos en anemias (microcíticas, macrocíticas, normocíticas, hemolíticas, entre otras)
-
Hallazgos sugestivos de leucemias agudas y crónicas
-
Alteraciones plaquetarias en trombocitemias
-
Características del síndrome leucoeritroblástico y su correlación clínica
- «Este taller sigue las recomendaciones internacionales de la Sociedad Argentina de Hematología https://www.sah.org.ar/para la observación de frotis de sangre periférica.»
- También puedes ver nuestros otros https://virtuallabint.com/cursos-laboratorio-clinico-online/
El taller tiene un enfoque intensivo, práctico y aplicado, con análisis de casos, revisión de imágenes y discusión guiada, promoviendo una lectura integrada del frotis en conjunto con otros estudios hematológicos.
Está dirigido a bioquímicos, médicos, residentes, técnicos de laboratorio y profesionales del área de la salud interesados en perfeccionar la lectura e interpretación del frotis como herramienta clave en el diagnóstico hematológico.






Valoraciones
No hay valoraciones aún.